Pollensaison: Nützliche Tipps für Allergiker und Allergikerinnen
Jeder fünfte Südtiroler leidet an einer Pollenallergie. Gut informiert lässt sich diese leichter ertragen. Pollenflugberichte und Drei-Tages-Prognosen sind dabei ein wertvoller Service.
Der milde Winter, die geringen Niederschläge und das gute Wetter in diesen Tagen führen zu einem Anstieg der Pollenbelastung in der Luft. Wer unter einer Pollenallergie leidet, weiß ein Lied davon zu singen. "In den vergangenen Wochen lagen vor allem die Pollen von Zypressengewächsen, Hasel, Erle, Ulme und Pappel in der Luft, die Allergien auslösten", berichtet Alberta Stenico, Leiterin des Biologischen Labors in der Landesagentur für Umwelt und Klimaschutz. "Nun hat sich das Pollenspektrum mit Pollen von Gemeine Esche, Weide, Hopfenbuche und Gräsern sowie den ersten Pollen von Brennnesselgewächsen verbreitert. Auch die Birkenpollen, die zu den Hauptverursachern von Heuschnupfen gehören, werden in den nächsten Tagen rasch zunehmen, wie die Analyse der in den Pollenfallen gesammelten Proben zeigt."
Seit fast 30 Jahren sorgt das Biologische Labor mit dem Polleninformationsdienst für die rechtzeitige Verbreitung von Polleninformationen. "Die wöchentlichen Pollenflugberichte und die Drei-Tages-Prognose, die mit der kostenlosen Pollen-App auch auf dem Smartphone abrufbar ist, geben Allergikern alle nötigen Informationen an die Hand, um den Kontakt mit den Allergenen, die ihre Allergie auslösen, möglichst zu vermeiden", betont Umwelt- und Energielandesrat Giuliano Vettorato. "Damit können sie vorbeugende Maßnahmen ergreifen, um ihre Lebensqualität zu verbessern."
Allergien auch durch nicht einheimische Pflanzen
"Die Hauptverursacher von Pollenallergien sind Gräser- und Birkenpollen", betont Magdalena Widmann, Leiterin des Polleninformationsdienstes. "In den vergangenen Jahren sind aber auch andere, nicht heimische Pflanzen hinzugekommen, die Allergikern erhebliche Beschwerden bereiten. Ein Beispiel ist die Ambrosia, eine invasive exotische Pflanze, die in Nordamerika beheimatet ist, stark allergen wirkt und sich hier in Europa immer mehr ausbreitet, aber auch die Olivenpflanze, die aufgrund der höheren Temperaturen durch den Klimawandel in Südtirol immer häufiger vorkommt.
Nützliche Tipps für Allergikerinnen und Allergiker
Niesen, tränende Augen, verstopfte Nase und Juckreiz sind typische Symptome einer Pollenallergie. Es ist der Kontakt mit den Pollen, der die Allergie auslöst. Hier einige nützliche Ratschläge: Aktivitäten im Freien an sonnigen und windigen Tagen einschränken, insbesondere an Orten, an denen die Pflanzen wachsen, die die eigene Allergie auslösen; die Augen beim Aufenthalt im Freien mit einer Sonnenbrille oder einer Schildmütze schützen; nach einem Aufenthalt im Freien duschen, um die Pollen abzuwaschen, die sich möglicherweise in den Haaren festgesetzt haben; während der Pollensaison die Wäsche nicht im Freien trocknen; auf Reisen die Pollenkalender des Zielgebiets (www.pollnet.it) konsultieren.
Alle Informationen zum Thema Pollen sind auf dem Landeswebportal zum Thema Umwelt verfügbar.
tl/mpi
Bildergalerie
Dokumente zum Herunterladen
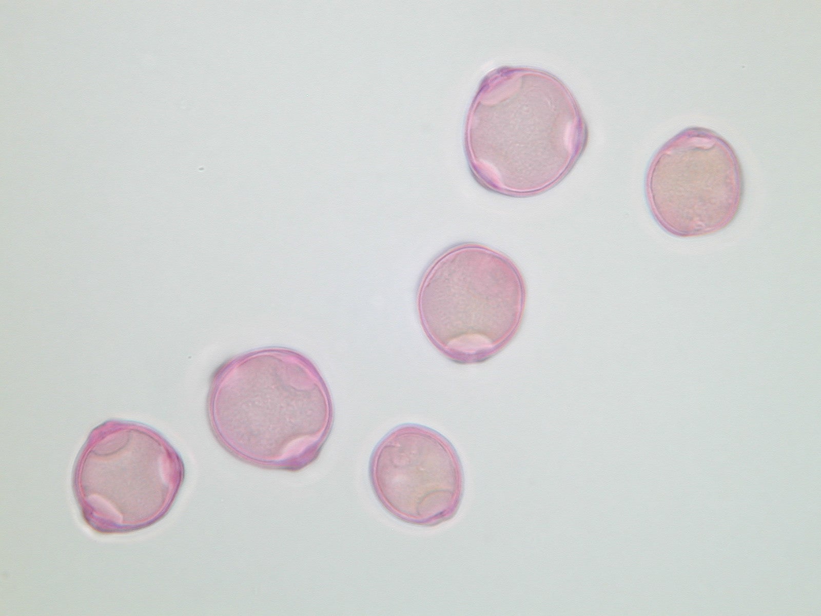
- Die Pollen werden in Pollenfallen gesammelt und unter dem Lichtmikroskop analysiert: Seit fast 30 Jahren sorgt das Biologische Labor mit dem Polleninformationsdienst für die rechtzeitige Verbreitung von Polleninformationen. (Foto: Landesagentur für Umwelt und Klimaschutz/Widmann) » [IMG 244 kB]
- Sehr häufige Verursacher von Heuschnupfen sind die Pollen der Birke. (Foto: Landesagentur für Umwelt und Klimaschutz/Widmann) » [IMG 1 MB]
- Die Blütenkätzchen der Hopfenbuche öffnen sich: Das sonnige Wetter fördert den Pollenflug. (Foto: Landesagentur für Umwelt und Klimaschutz/Edith Bucher) » [IMG 2 MB]

